Novosti
LinkedIn
Facebook
Srpski
English
Centar moderne stomatologije
Home
Edukacija
Program kurseva sa prijavom
Dr Dejan Radonić
Usluge
CAD/CAM 3D
Estetsko rekon. stomatologija
Protetika
Implantologija
Oralna hirurgija
Parodontologija
Endodoncija
Ortodoncija
Konzervativna stomatologija
Tim
Dr Dejan Radonić
Dragana Bogdanić
Ordinacija
Prijem
Sterilizacija
Prostorija za prezentaciju radova
Ordinacije
Galerija radova
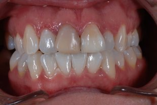
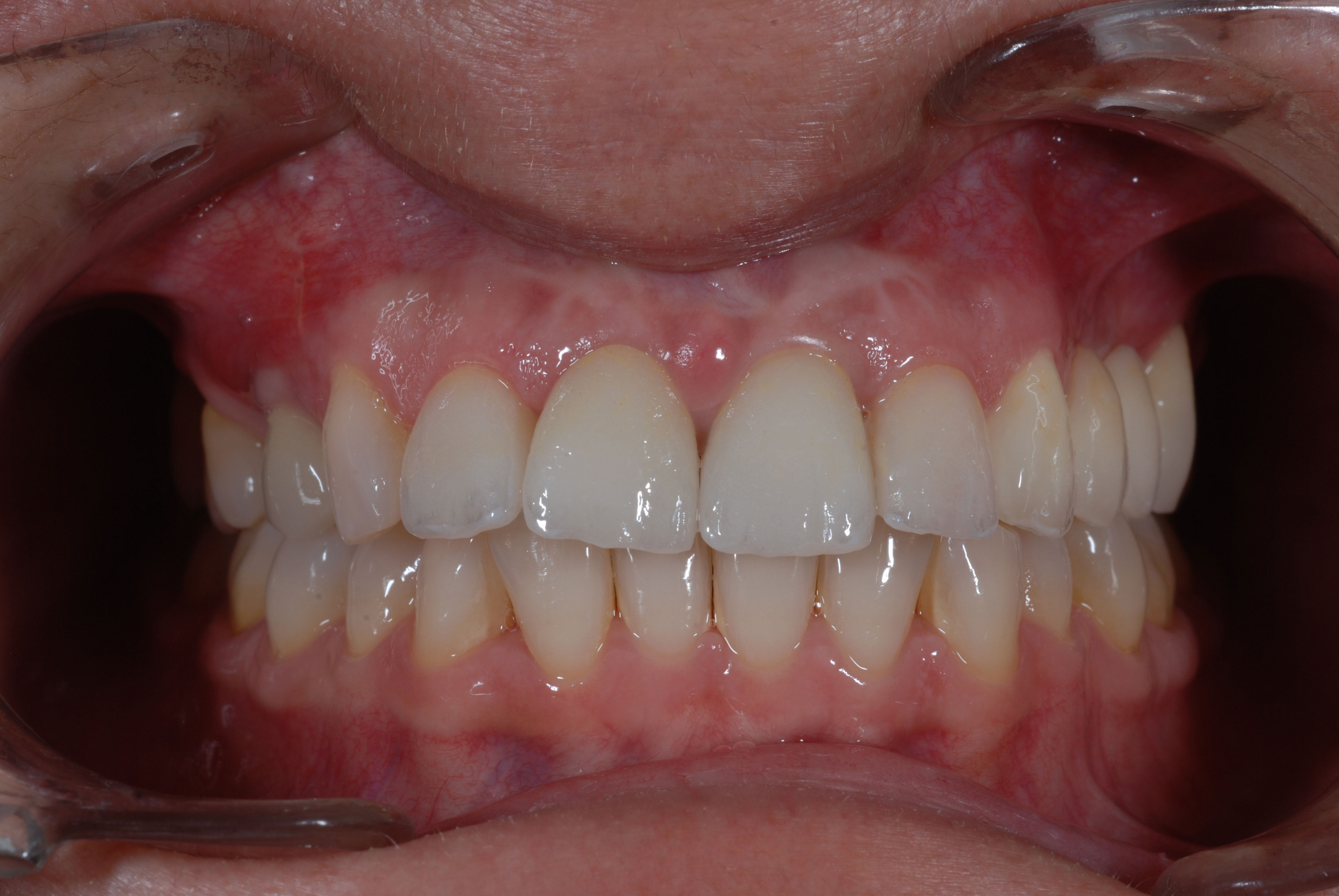
CAD/CAM 3D
Estetsko rekon. stomatologija
Implantologija
Endodoncija
Konzervativna stomatologija
Novosti
Kontakt
CAD/CAM 3D