O nama

Stomatološka ordinacija Dedent osnovana je 1991. godine, pod stručnim rukovodstvom doktora stomatologije Dejana Radonića. Tokom više od tri decenije postojanja, ordinacija je izrasla u prepoznatljivo mesto koje klijenti biraju kada žele pouzdanu, kvalitetnu i savremenu stomatološku negu.

Posvećenost stručnom radu, individualnom pristupu i stalnom usavršavanju učinili su Dedent destinacijom gde se pacijenti osećaju sigurno, opušteno i potpuno zbrinuto. Bez obzira da li je reč o rutinskim pregledima, estetskoj stomatologiji ili složenim zahvatima, tim ordinacije posvećen je stvaranju savršenog osmeha koji traje.

Zubar kojeg ćete zavoleti

Zašto odabrati
Dedent?

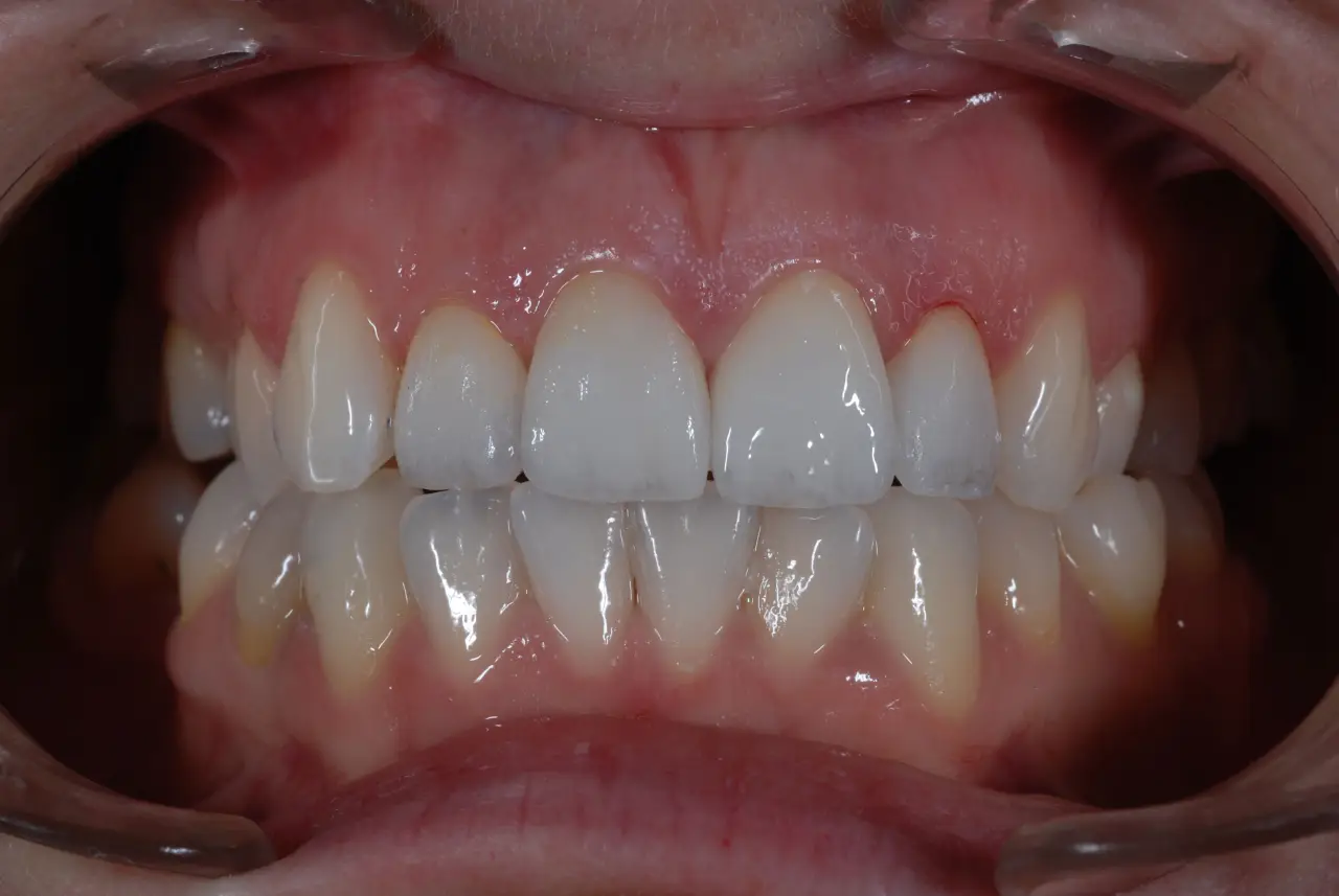
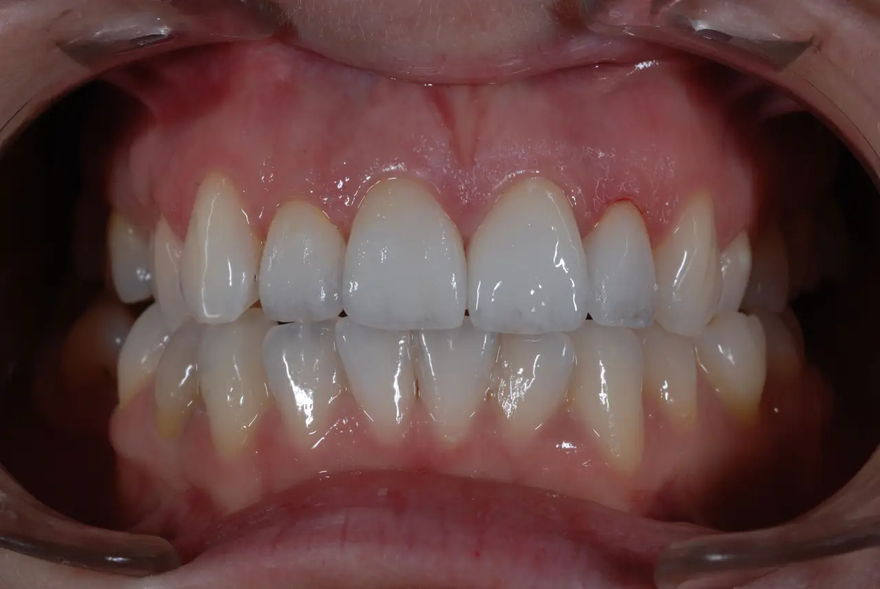
Dedent pruža najkvalitetniju stomatološku negu uz tim iskusnih stomatologa.

  • Stomatološki pregledi
  • Tretmani oralne higijene
  • Krune, fasete i mostovi
  • Lečenje zubnog kanala
  • Protetska nadoknada na implantima
  • Profesionalno izbeljivanje zuba
Usluge

Naš tim

Naš tim čine posvećeni stručnjaci koji kombinuju znanje, iskustvo i savremene metode rada kako bi svakom pacijentu pružili vrhunsku negu.

Verujemo u profesionalnost, individualni pristup i kontinuirano usavršavanje, jer samo tako možemo garantovati najbolji rezultat i vaše potpuno zadovoljstvo.

Dr Dejan Radonić
Dr Dejan Radonić
Osnivač i vlasnik ordinacije
Polje specijalnosti:
Kompjuterizovana stomatologija na CAD/CAM sistemu
Detaljnije